|
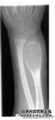
成因 1.直接暴力 直接撞击 2.间接暴力 如手掌着地导致桡骨远端骨折、肱骨髁上骨折 3.积累性劳损(疲劳性骨折) 如远距离行军易致第2、3跖骨及腓骨下1/3骨干骨折,称为疲劳性骨折。 4.病理因素:骨骼疾病,如骨髓炎、骨肿瘤导致骨质破坏,受轻微外力即发生骨折,称为病理性骨折。 分类 骨折:骨的完整性和连续性中断。 1.根据骨折处皮肤、筋膜的完整性分类 (1)闭合性骨折 骨折处皮肤或筋膜完整,骨折端不与外界相通。 (2)开放性骨折 骨折处皮肤或筋膜破裂,骨折端与外界相通。 2.根据骨折的程度和形态分类 (1)不完全骨折 骨的完整性和连续性部分中断,按其形态又可分为: 1)裂缝骨折:骨质出现裂隙,无移位 2)青枝骨折:多见于儿童,折而不断 (2)完全骨折 骨的完整性和连续性全部中断 1)横形骨折 2)斜形骨折:不稳定 3)螺旋形骨折:不稳定 4)粉碎性骨折:骨质碎裂成三块以上。不稳定。 5)嵌插骨折:多见于干骺端骨折 6)压缩性骨折:多见于松质骨,如脊椎骨和跟骨 7)凹陷性骨折:多见于颅骨。 8)骨骺损伤:经过骨骺的骨折。 3.根据骨折端稳定程度分类 (1)稳定性骨折 在生理外力作用下,骨折端不易发生移位的骨折,如裂缝骨折、青枝骨折、横形骨折、嵌插骨折、压缩性骨折等。 分(裂缝)支(青枝)很(横行)差(嵌插)呀(压缩) (2)不稳定性骨折 骨折端易发生移位的骨折,如斜形骨折、螺旋形骨折、粉碎性骨折等。 骨折的全身表现 1.休克 主要原因是出血,骨盆骨折、股骨骨折和多发性骨折容易发生。 2.发热 骨折后一般体温正常,出血量较大的骨折可出现低热,但一般不超过38℃。 开放性骨折病人出现高热时,应考虑感染的可能。 骨折的局部表现 特有体征: (1)畸形 (2)异常活动:反常活动。 (3)骨擦音或骨擦感 骨折的检查 1.肌力 0级:完全瘫痪,测不到肌肉收缩。 1级:仅测到肌肉收缩,但不能产生动作。不动 2级:肢体在床面上能水平移动,但不能抵抗自身重力,即不能抬离床面。不重 3级:肢体能抬离床面,但不能抵抗阻力。不阻 4级:能作抵抗阻力动作,但不完全。不全 5级:正常肌力。 辅助检查 1.骨折的X线检查 首选 2.骨盆及脊柱等部位的骨折常需要结合CT及MRI检查 股骨头坏死,膝关节韧带损伤,伴有脊髓损伤首选:MRI。 腰椎间盘突出首选:CT。 所有骨折,脱位首选:X线。 骨折的并发症 (一)早期并发症 1.休克 2.脂肪栓塞综合征 3.重要内脏器官损伤 4.重要周围组织损伤 5.骨筋膜室综合征 (二)晚期并发症 .1.坠积性肺炎 2.压疮 3.下肢深静脉血栓形成 4.感染 5.损伤性骨化(骨化性肌炎) 6.创伤性关节炎 7.关节僵硬 8.急性骨萎缩 9.缺血性骨坏死 10.缺血性肌挛缩 (一)早期并发症 1.休克 大出血或重要器官损伤所致。 如:开放性股骨骨折密切观察的并发症:休克, 骨盆骨折和股骨骨折常见。 2.脂肪栓塞 (1)髓腔内血肿张力过大 (2)创伤的应激作用使正常血液中的乳糜微粒失去乳化稳定性。 主要引起肺栓塞。 3.重要内脏器官损伤 (1)肝、脾破裂 (2)肺损伤 (3)膀胱和尿道损伤 (4)直肠损伤 4.重要周围组织损伤 (1)重要血管损伤: 伸直型肱骨髁上骨折→肱动脉损伤 股骨髁上骨折骨折→腘动脉损伤 胫骨上段骨折→胫前或胫后动脉损伤 (2)周围神经损伤: 肱骨中、下1/3交界处骨折极易损伤 紧贴肱骨行走的桡神经 5.骨筋膜室综合征:最多见于前臂掌侧和小腿。 (1)濒临缺血性肌挛缩:缺血早期 (2)缺血性肌挛缩(属晚期并发症)最严重并发症之一。 (3)坏疽:广泛、长时间完全缺血,大量肌肉坏疽,常需截肢。如有大量毒素进入血循环,还可致休克、心律不齐和急性肾衰竭。 四个体征可确诊: 患肢感觉异常;被动牵拉受累肌肉出现疼痛;肌肉主动屈曲时出现疼痛;筋膜室即肌腹处有压痛。筋膜室压力>30mmHg,应及时切开减压手术。 (二)晚期并发症 与早期鉴别 1.坠积性肺炎 2.压疮 3.下肢深静脉血栓形成 4.感染 5.损伤性骨化(骨化性肌炎) 6.创伤性关节炎 7.关节僵硬 8.急性骨萎缩 9.缺血性骨坏死 10.缺血性肌挛缩 1.坠积性肺炎:长期卧床病人 2.压疮 3.下肢深静脉血栓形成 4.感染 骨外露最易发生感染。 5.损伤性骨化 又称骨化性肌炎。关节扭伤、脱位或关节附近骨折,骨膜剥离形成骨膜下血肿容易诱发。 特别多见于肘关节,如肱骨髁上骨折 6.创伤性关节炎:如胫骨平台骨折。 7.关节僵硬 这是骨折和关节损伤最常见的并发症 8.急性骨萎缩 9.缺血性骨坏死 股骨颈骨折(头下型)股骨头缺血坏死、腕舟状骨骨折后近侧骨折段缺血性坏死。 10.缺血性肌挛缩 是骨折最严重的并发症之一,是骨筋膜室综合征处理不当的严重后果。 脂肪栓塞----下肢静脉血栓 血管神经损伤--损伤性骨化,创伤性关节炎、急性骨萎缩 肺损伤----坠积性肺炎 骨筋膜室综合症----缺血性肌痉挛 骨折和关节损伤最常见的并发症:关节僵硬; 骨折最严重的并发症是:缺血性肌挛缩; 骨折早期最严重的并发症是:骨筋膜室综合征; 关节内骨折最常见的并发症:创伤性关节炎。(如胫骨平台骨折) 骨折愈合的分期 1.血肿炎症机化期 伤后6-8小时,出血、坏死,引起无菌性炎症反应。纤维连接2周完成。 2.原始骨痂形成期 3-6个月。 3.骨痂改造塑形期 经破骨和成骨细胞的侵入,完成死骨清除和新骨形成的爬行替代过程。这一过程约需1~2年。 总结 2周血肿机化成,3到6月原始痂,1到2年全愈合。 血肿炎症机化期:6-8小时无菌性炎症。纤维连接2周 原始骨痂形成期:3-6个月。形成新骨。 骨痂改造塑形期:1-2年。死骨清除和新骨形成相结合。 骨折临床愈合标准 ①局部无压痛及纵向叩击痛; ②局部无异常活动; ③X线片显示骨折处有连续性骨痂,骨折线已模糊;④(九版删除)拆除外固定后,如为上肢能向前平举1kg重物持续达1分钟;如为下肢不扶拐能在平地连续步行3分钟,并不少于30步; 连续观察2周骨折处不变形。 影响骨折愈合的因素 (一)全身因素 1.年龄 2.健康状况 (二)局部因素 (1)血供:这是影响骨折愈合的重要因素 如胫骨干中、下1/3骨折,股骨颈头下型骨折 (2)软组织嵌入 导致骨不连 (三)治疗方法的影响 1.反复多次的手法复位,可损伤局部软组织和骨外膜,不利于骨折愈合,应予避免。 2.切开复位:优点:解剖复位,缺点:影响骨折段血供,可能导致骨折延迟愈合或不愈合 3.开放性骨折清创时,过多地摘除碎骨片 4.骨折行持续骨牵引治疗时,牵引力过大 5.骨折固定不牢固 6.过早和不恰当的功能锻炼 骨折的治疗原则 (一)骨折的治疗原则 骨折的治疗有三大原则:复位、固定、康复治疗。 1.复位 是将移位的骨折端恢复正常或近乎正常的解剖关系(首要) 2.固定 (关键) 3.康复治疗 恢复患肢功能的重要保证 (二)复位标准 1.解剖复位 恢复了正常的解剖关系,对位(两骨折端的接触面)和对线(两骨折端在纵轴上的关系)完全良好时,称解剖复位。 2.功能复位 标准 (1)骨折部位的旋转移位、分离移位:必须完全矫正。 (2)缩短移位:在成人下肢骨折不超过1cm;儿童若无骨骺损伤,下肢缩短在2cm以内,在生长发育过程中可自行矫正。 (3)成角移位: 前后成角可自行矫正。 向侧方成角必须完全复位。 前臂双骨折则要求对位、对线均好 (4)长骨干横形骨折:骨折端对位至少达1/3,干骺端骨折至少应对位3/4。 (三)复位方法 无血管神经损伤,首选手法复位外固定; 有血管神经损伤、开放骨折首选手术复位内固定。 骨折的急救处理 1.抢救休克 2.包扎伤口(不是彻底清创)止血带最长1小时,松1-2分钟。缓慢松止血带 3.妥善固定 4.迅速转运 开放性骨折的处理 1.一般认为在伤后6~8小时内清创 2.从浅至深,清除异物 3.游离的骨片,无论大小均应去除。 4.生理盐水、0.1%活力碘浸泡、3%过氧化氢溶液清洗,生理盐水再次冲刺。 5.超过伤后6~8小时者,不宜应用内固定 6.用引流管,置于创口内最深处,接负压,于24~48小时后拔除。 1.锁骨骨折若移位明显,可引起臂丛神经损伤。 2.表现:肿胀、瘀斑,肩关节活动使疼痛加重。病人常用健手托住患侧肘部,头部向患侧偏斜。 (注意与肩关节脱位鉴别杜加征阳性) 3.首选:X线 4.治疗 (1)儿童的青枝及成人的无移位骨折:三角巾悬吊患肢3~6周。 (2)中段骨折:手法复位,横“8”字绷带固定。 (3)切开复位内固定: ①病人不能忍受“8”字绷带固定的痛苦; ②复位后再移位,影响外观; ③合并神经、血管损伤; ④开放性骨折; ⑤陈旧骨折不愈合; ⑥锁骨外端骨折,合并喙锁韧带断裂。 肱骨近端包括肱骨大结节、小结节和股骨外科颈三个重要的解剖部位, 肱骨外科颈是肱骨大结节、小结节移行为肱骨干的交界部位,位于解剖颈下2~3cm,是松质骨和密质骨的交接处,易发生骨折,有臂丛神经、腋血管在内侧经过,因此骨折可合并神经血管损伤。 损伤腋神经可出现三角肌麻木,患肢不能外展。 正常人体解剖学姿势
治疗 大、小结节、头、干四个部分 一个部位称为两部分骨折 两个部位骨折移位称为三部分骨折 1.保守治疗 无移位的肱骨近端骨折,上肢三角巾悬吊3~4周 2.两部分以上的骨折,应及时行切开复位钢板内固定进行治疗 肱骨干中下1/3段后外侧有桡神经沟, 桡神经损伤,可出现垂腕,各手指掌指关节不能背伸,拇指不能伸,前臂旋后障碍 治疗:开放、陈旧、合并血管神经损伤、粉碎等需要切开复位内固定。 肱骨髁上骨折以10岁以下儿童多见,可分为伸直型和屈曲型,其中伸直型较常见。 解剖因素:肱骨干轴线与肱骨髁轴线之间有30°~50° 分型 一、伸直型(多见) 1.手掌着地 2.近折端向前下移位,远折端向上移位 3.骨折线呈由后上斜向前下的斜形 4.易损伤肱动脉 二、屈曲型 1.肘后方着地 2.近折端向后下移位 远折端向前移位 3.骨折线呈由前上斜向后下的斜形 伸直型——伸直近前下 屈曲型——屈曲近后下 肱骨髁上骨折——肘后三角关系正常; 肘关节脱位——肘后三角关系不正常。 并发症 1.血管损伤 伸直型极易压迫肱动脉或刺破肱动脉,加上损伤后的组织反应,容易前臂骨筋膜室综合征。 2.神经损伤 中(正中N)原(猿手)迟(尺N)早(爪形手)闹(桡N)炊烟(垂腕) (1)桡神经 垂腕”状态,各手指掌指关节不能背伸,拇指不能伸,前臂旋后障碍 手臂桡侧皮肤感觉减退或消失。感觉障碍以第1、2掌骨间隙背面“虎口区”皮肤最为明显。 (2)尺神经损伤 肌肉:骨间肌、蚓状肌、拇收肌麻痹所致的第4、5指的指间关节弯曲,称为“爪形手”畸形 运动:手指内收(夹纸试验阳性)、外展障碍和Froment征 感觉:手部尺侧半和尺侧一个半手指感觉障碍。 (3)正中神经损伤 前臂不能旋前,屈腕无力,拇、示指、中指不能屈曲,拇指不能对掌,鱼际肌萎缩,手掌平坦,称为“猿手”。 感觉障碍以拇指、示指和中指的末节为明显。亦可见明显的血管收缩和营养障碍。 治疗 1.切开复位指征 ①手法复位失败。②开放性骨折。③伴神经血管损伤。 2.其他:手法复位外固定 固定4~5周 3.康复治疗 4~6周后可进行肘关节屈伸活动。 孟氏骨折:尺骨上1/3+桡骨小头脱位——吃上(尺骨上)馒(M)头(桡骨小头) 盖氏骨折:桡骨下1/3+尺骨小头脱位——拿下(桡骨下)盖头 治疗 手术指征: ①手法复位失败。 ②开放性骨折。 ③合并神经、血管、肌腱损伤。 ④同侧肢体有多发性损伤。 ⑤陈旧骨折畸形愈合。 桡骨远端骨折指距桡骨远端关节面3cm以内的骨折 分类: 伸直型Colles骨折和屈曲型Smith骨折 临床表现 1.伸直型骨折(Colles骨折) 最常见,跌倒时腕关节处于背伸及前臂旋前位、手掌着地。骨折远端向背侧及桡侧移位。银叉”“枪刺样”畸形 2.屈曲型骨折(Smith骨折) 反Colles骨折。跌倒时手背着地,骨折远端向掌侧及桡侧移位 Colles骨折 (伸直型) Smith骨折(屈曲型)
治疗 手法复位 不稳定:切开复位 无论手法复位或切开复位,术后均应早期进行手指屈伸活动,4-6周后去除外固定,逐渐开始腕关节的活动。
旋股内、外侧动脉的分支,是股骨头、颈的重要营养动脉。 股深动脉→旋股内侧动脉→骺外侧动脉供应股骨头2/3~4/5区域的血液循环,是股骨头最主要的供血来源。旋股内侧动脉损伤是导致股骨头缺血坏死的主要原因。 分类 1.按骨折线部位分类 (1)股骨头下骨折:易发股骨头缺血坏死。 (2)经股骨颈骨折:骨折线位于股骨颈中部,股骨头亦有明显供血不足,易发生股骨头缺血坏死,或骨折不愈合。 2.按骨折线方向分类 ①股骨颈外展骨折:Pauwel角<30°,骨折易愈合;②股骨颈内收骨折:Pauwel角>50° 外有小三,内人打我,婚姻不稳 临床表现 1.中、老年人有摔倒受伤史,伤后感髋部疼痛,下肢活动受限,不能站立和行走,应怀疑病人有股骨颈骨折。有时数天后发现。 2.患肢出现外旋畸形45°~60°之间。 若外旋畸形达到90°,应怀疑有转子间骨折。 3.可出现局部压痛及轴向叩击痛。 4.患肢短缩、大转子上移。在侧卧并半屈髋,由髂前上棘与坐骨结节之间画线,为Nelaton线(内拉东线),正常情况下,大转子在此线上,若大转子超过此线之上,表明大转子有向上移位。 治疗 1.非手术疗法 年龄过大,全身情况差,合并有严重心、肺、肾、肝等功能障碍不能耐受手术者,要尽早预防和治疗全身并发症,全身情况允许后尽早尽快手术治疗。可采用穿防旋鞋,下肢皮肤牵引,卧床6~8周。 2.手术治疗 股骨颈骨折以手术治疗为主 (1)闭合复位内固定术:是首选的手术方法。 (2)切开复位内固定术:适用于手法复位失败后固定不可靠,或青壮年陈旧骨折不愈合者。 (3)人工关节置换术:适用于全身情况尚好,GardenⅢ、Ⅳ型股骨颈骨折的老年患者。 表现:转子区出现疼痛,肿胀,瘀斑,下肢不能活动 查体:转子间压痛,下肢外旋畸形可达90°,有轴向叩击痛。下肢短缩。 治疗:稳定牵引 不稳定手术 临床表现 下1/3骨折 近端前上,远端向后。 有可能损伤腘动脉、腘静脉和胫神经、腓总神经 第二位容易休克的骨折(第一位为骨盆骨折)。 治疗 1.非手术疗法 (1)成人:麻醉下,在胫骨结节或股骨髁上进行骨骼牵引 持续牵引8~10周 (2)儿童:3岁以下儿童采用垂直悬吊皮肤牵引。 2.手术疗法 成人及三岁以上儿童股骨干骨折近年来多采用手术治疗。 (1)指征:①非手术疗法失败; ②同一肢体或其他部位有多处骨折; ③合并神经血管损伤; ④老年人的骨折,不宜长期卧床者; ⑤陈旧骨折不愈合或有功能障碍的畸形愈合; ⑥无污染或污染很轻的开放性骨折。 (2)手术治疗方法: ①切开复位,钢板螺钉内固定; ②带锁髓内钉内固定; ③弹性钉内固定; ④外固定架外固定。 治疗 必须坚持解剖复位、坚强固定,有骨缺损时应及时植骨填充。 1.胫骨干横切面呈三棱形,在中、下1/3交界处,变成四边形。 2.容易开放性骨折。 3.下1/3段骨折愈合较慢,容易发生延迟愈合或不愈合。 并发症 1.易发生创伤性关节炎。 2.胫骨上1/3骨折,可致胫后动脉损伤,引起下肢严重血循环障碍,甚至缺血坏死。 3.中1/3:骨筋膜室综合征 4.胫骨下1/3段骨折:骨不愈合。 5.腓骨骨折:腓总神经损伤,造成足下垂、趾背伸无力和足背外侧感觉障碍。 治疗 1.单纯胫骨干骨折采用手法复位,小夹板或石膏固定10~12周。 2.单纯腓骨干骨折,若不伴有关节分离,亦不需特殊治疗。可用石膏固定3~4周。 3.不稳定的胫腓骨干双骨折在以下情况时,采用切开复位内固定: ①手法复位失败; ②严重粉碎性骨折或双段骨折; ③污染不重,受伤时间较短的开放性骨折。 踝部骨折和踝部扭伤 踝关节是人体负重的主要关键 1.内侧副韧带 又称三角韧带,是踝关节最坚强的韧带。主要功能是防止踝关节外翻。 2.外侧副韧带 起自外踝,分三束分别止于距骨前外侧跟骨外侧和跟骨后方,是踝部最薄弱的韧带。 内人是坚强的后盾,防止外翻 外侧是最薄弱的韧带 1.压缩骨折:为最常见的脊柱骨折类型。 2.爆裂骨折:垂直型压缩性骨折,易截瘫 3.Chance骨折:为经椎体、椎弓及棘突的水平状撕裂性损伤,为不稳定性骨折,临床上比较少见。 4.Jefferson骨折:第一颈椎前、后弓双侧骨折 X线不易发现,CT清晰 影像学检查 1.X线正侧位摄片:是首选检查方法。 2.CT检查:可以显示出椎体的骨折情况 3.MRI检查:凡疑有脊髓、神经损伤 治疗 搬运:平托或整体滚动 脊柱手术指征: ①颈、胸、腰椎骨折脱位有关节突交锁; ②影像学检查有骨折碎片进入椎管内压迫脊髓; ③截瘫平面不断上升,提示有活动性出血者; ④手法复位不满意或存在脊柱不稳定。 骨盆骨折 1.常伴有严重多发伤,见有血压低、休克等。 2.骨盆骨折的主要体征: (1)骨盆分离试验与挤压试验阳性(题眼) (2)肢体长度不对称 (3)会阴部的瘀斑是耻骨和坐骨骨折的特有体征 常见并发症 1.腹膜后血肿 可以迅速致死。(不切开) 2.盆腔内脏损伤 诊断性腹腔穿刺吸出不凝血可考虑有内脏损伤。 3.膀胱与后尿道、直肠损伤损伤 血尿者考虑合并尿道、膀胱或肾的损伤。 4.脂肪栓塞与静脉栓塞 前脱位最多见 其他关节脱位均为后脱位多见 临床表现 1.方肩畸形:检查可发现患肩呈方肩畸形,肩胛盂处有空虚感,上肢有弹性固定。 2.Dugas征阳性:有脱位时将患侧肘部紧贴胸壁时,手掌搭不到健侧肩部,或手掌搭在健侧肩部时,肘部无法贴近胸壁,称Dugas征阳性。 治疗:手法复位 一般采用局部浸润麻醉,用足蹬法(Hippocrates法)复位。 复位后三角巾选吊周。 1.多发生在5岁以下的儿童 2.儿童的腕、手有被向上的牵拉受伤历史。 3.肘部疼痛受限 4.治疗 不用麻醉即可进行手法复位。 复位后不必固定。 1.后脱位最为常见。乘车跷二郎腿易发生 呈屈曲、内收、内旋畸形。(后内内) 大转子上移 2.前脱位典型表现 患肢呈屈曲、外展、外旋畸形。腹股沟处肿胀,可摸到股骨头。 治疗 复位宜早,最初24~48小时是复位的黄金时期 常用的复位方法Allis法(提拉法) 复位后用绷带将双踝暂时捆在一起 打篮球起跳损伤半月板,落地损伤前交叉。 走(轴移)厕(侧方应力)所拉(Lachman)抽(抽屉试验) 侧方应力为检查侧副韧带,其余均为检查交叉韧带。 1.侧方应力试验 在膝关节完全伸直位与屈曲30°位置下做被动膝内翻与膝外翻动作,并与对侧作比较。如有疼痛或发现内翻外翻角度超出正常范围并有弹跳感时,提示有侧副韧带扭伤或断裂。提示有侧副韧带扭伤或断裂。 2.抽屉试验 建议在麻醉下进行操作。膝关节屈曲90°,小腿垂下,检查者用双手握住胫骨上段做拉前和推后动作,并注意胫骨结节前后移动的幅度。 前移增加表示前交叉韧带断裂; 后移增加表示后交叉韧带断裂。 3.轴移试验 本试验用来检查前交叉韧带断裂后出现的膝关节不稳定。患者侧卧,检查者站在一侧,一手握住踝部,屈曲膝关节到90°,另一手在膝外侧施力,使膝处于外翻位置,然后缓慢伸直膝关节,至屈曲20°~30°位时觉疼痛与弹跳,是为阳性结果。提示前外侧旋转不稳定。 4.Lachiman试验 比抽屉试验阳性率高 MRI检查可以清晰地显示出前、后交叉韧带的情况。(首选) 半月板内侧程C 外侧O 检查方法:伸屈挤磨蹲 1.过伸试验 2.过屈试验 3.半月板旋转挤压试验 4.研磨试验 5.蹲走试验 首选MRI 半月板撕裂治疗:首选关节镜。 1.一般应争取在伤后6~8小时内进行。 2.手部创伤止血带缚于上臂上1/3处。 3.则应采用干燥冷藏法保存,即将断肢用无菌或清洁敷料包好,放入塑料袋中,再放在加盖的容器内,外周加冰块保存。但不能让断肢与冰块直接接触,以防冻伤,也不能用任何液体浸泡。 4.到达医院后,立即检查断肢,用无菌敷料包好,放在无菌盘上,置入4℃冰箱内。 5.若为多个手指,应分别予以标记 6.上臂和大腿离断,时限须严格控制,断指对全身影响小,则可延长至12~24小时。 断肢(指)再植的禁忌证 (1)患全身性慢性疾病,或合并严重脏器损伤,不允许长时间手术,或有出血倾向者。 (2)断肢(指)多发性骨折及严重软组织挫伤,血管床严重破坏,血管、神经、肌腱高位撕脱者。 (3)断肢(指)经刺激性液体及其他消毒液长时间浸泡者。 (4)在高温季节,离断时间过长,断肢未经冷藏保存者。 (5)病人精神不正常,本人无再植要求且不能合作者。 中(正中N)原(猿手)迟(尺N)早(爪形手)闹(桡N)炊烟(垂腕) 1.桡神经 垂腕”状态,各手指掌指关节不能背伸,拇指不能伸,前臂旋后障碍 手臂桡侧皮肤感觉减退或消失。感觉障碍以第1、2掌骨间隙背面“虎口区”皮肤最为明显。 2.尺神经损伤 肌肉:骨间肌、蚓状肌、拇收肌麻痹所致的第4、5指的指间关节弯曲,称为“爪形手”畸形 运动:手指内收(夹纸试验阳性)、外展障碍和Froment征 感觉:手部尺侧半和尺侧一个半手指感觉障碍。 3.正中神经损伤 前臂不能旋前,屈腕无力,拇、示指、中指不能屈曲,拇指不能对掌,鱼际肌萎缩,手掌平坦,称为“猿手”。 感觉障碍以拇指、示指和中指的末节为明显。亦可见明显的血管收缩和营养障碍。 1.坐骨神经损伤 髋关节后脱位、臀部刀伤、臀肌挛缩手术伤以及臀部肌注药物均可致其高位损伤 (1)股后部肌肉及小腿和足部所有肌肉全部瘫痪,导致膝关节不能屈、踝关节(屈伸)与足趾运动功能完全丧失,呈足下垂。 (2)小腿后外侧和足部感觉丧失,足部出现神经营养性改变。 2.腓总神经损伤 (1)腓总神经易在腘部及腓骨小头处损伤 (2)踝背伸、外翻功能障碍,呈内翻下垂畸形。以及伸踇、伸趾功能丧失,呈屈曲状态 1.本病有自限性,一般在6~24个月左右可自愈 2.发病年龄50岁左右,女性多于男性。左侧多于右侧3.肩周痛以肩袖间隙区、肱二头肌长腱压痛为主。 4.肩各方向主动、被动活动均不同程度受限。 5.X线片见肩关节结构正常。MRI见关节囊增厚,当厚度>4mm对诊断本病的特异性达95%。 治疗 1.早期给予理疗、针灸、适度的推拿按摩 2.痛点局限时,可局部注射醋酸泼尼松龙。 3.短期服用非甾体抗炎药 4.应每日进行肩关节的主动活动。 5.以上治疗无效时,在麻醉下采用手法或关节镜松解粘连,然后再注入类固醇或透明质酸钠,可取得满意疗效。 伸肌腱牵拉试验(Mills征):伸肘,握拳,屈腕,然后前臂旋前,此时肘外侧出现疼痛为阳性。有时疼痛可牵涉到前臂伸肌中上部。 治疗 1.限制用力握拳、伸腕:治疗和预防复发的关键。( 2.首选封闭,制动压痛点可采用局部药物行封闭治疗,只要注射准确,均能取得极佳的近期效果。疗效是否巩固,与能否适当限制腕关节活动关系很大。这是肱骨外上髁炎首选的治疗方法。 1.弹响指、弹响拇 2.各手指发病的频度依次为中、环指最多,示、拇指次之,小指最少。 3.疼痛常在近侧指间关节,而不在掌指关节。 4.体检时可在远侧掌横纹处扪及黄豆大小的痛性结节,屈伸患指该结节随屈肌腱上、下移动,或出现弹拨现象,并感到弹响即发生于此处。 5.儿童拇长屈肌腱鞘炎常为双侧 6.桡骨茎突狭窄性腱鞘炎:握拳尺偏腕关节时,桡骨茎突处出现疼痛,称Finkelstein试验阳性。 治疗 1.局部制动和局部封闭 2.非手术无效,腱鞘切开减压术 Dugas症. Froment症 Thomas症 Mills症 Finkelsein症 1.创伤性因素 2.非创伤性因素 ①长期应用激素;②乙醇中毒;③减压病;④镰状细胞贫血;⑤特发性股骨头坏死。 临床表现 最先出现的症状为髋关节或膝关节疼痛 髋关节活动受限,其中以内旋转及外展活动受限最为明显。 “4”字试验阳性 影像学 (1)X线检查:普通X线片为常规检查手段 I期溶解透明带(形成新月征) Ⅱ期修复硬化带 Ⅲ期塌陷 Ⅳ脱位。 (2)磁共振成像(MRI):是一种有效的非创伤性的早期诊断方法,可见“双线征” (3)计算机断层扫描(CT)CT三维重建图像可以更好地评价股骨头的变性和塌陷程度。 (4)放射性核素扫描:对于股骨头缺血性坏死的早期诊断具有很大价值 治疗 1.非手术治疗 严格避免持重 2.手术治疗 (1)髓芯减压术 (2)带血管蒂骨移植 (3)关节置换术:对于髋白和股骨头均受累、出现骨关节炎的表现、明显影响病人生活质量者可考虑行全髋关节置换术。 颈椎病的分型 1.神经根型颈椎病 发病率最高 临床上开始多为颈肩痛,短期内加重,并向上肢放射 上肢牵拉试验(Eaton试验/伊顿)阳性 压头试验(Spurling试验)阳性 2.脊髓型颈椎病 临床表现为上肢或下肢麻木无力、僵硬、双足踩棉花感,足尖不能离地,上肢无力、持物不稳。 后期可出现尿频或排尿、排便困难等大小便功能障碍。 病理阳性 3.交感神经型颈椎病 交感神经兴奋症状。如头痛,头晕;视物模糊、视力下降,瞳孔扩大或缩小,眼后部胀痛;心跳加速、心律不齐,心前区痛和血压升高;头颈及上肢出汗异常以及耳鸣、听力下降,发音障碍等。 4.椎动脉型颈椎病 眩晕、猝倒、头痛、视觉障碍 治疗 1.非手术治疗 (1)颈椎牵引:适用于脊髓型以外的各型颈椎病。 颈部理疗 、自我保健 (2)脊髓型 手术 ①颈椎前路减压融合术 ②后路减压术 腰椎间盘突出症是引起腰腿疼的最常见原因, 病因:椎间盘退变。 腰4~5、腰5~骶1间隙发病率最高。 临床表现 1.腰痛 最早 2.坐骨神经痛 典型坐骨神经痛是从下腰部向臀部、大腿后方、小腿外侧直到足部的放射痛。患者在喷嚏或咳嗽时由于增加腹压而使疼痛加剧。 3.马尾综合征 :大小便障碍(手术指征) 4.腰椎侧凸 5.直腿抬高试验(Lasegue试验)及加强试验 6.神经系统表现 (1)腰5/L5受累(L4-5椎间盘突出): 感觉:小腿外侧和足背痛、触觉减退; 肌力:拇趾背伸力下降; (2)骶1/S1神经根受压(L5-S1椎间盘突出) 感觉:外踝附近及足外侧痛、触觉减退。 肌力:足跖屈力减弱 反射:踝反射减弱或消失表示骶1神经根受压 记忆:我真背(L5拇指背屈无力、足背痛) 第一(S1)只曲(跖屈)子坏(踝反射)了 辅助检查 (1)X线平片 单纯X线平片不能直接反映是否存在椎间盘突出。 (2)CT和MRI CT可显示骨性椎管形态,黄韧带是否增厚及椎间盘突出的大小、方向等,对本病有较大诊断价值,目前已普遍采用。 MRI可全面地观察各腰椎间盘是否病变,也可在矢状面上了解髓核突出的程度和位置,并鉴别是否存在椎管内其他占位性病变。 治疗 非手术治疗主要适应于: ①年轻、初次发作或病程较短者; ②休息后症状可自行缓解者; ③由于全身疾病或有局部皮损,不宜手术者或不同意手术者。 手术治疗 (1)手术治疗适应证: ①腰腿痛症状严重,反复发作,半年以上非手术治疗无效,病情加重影响工作生活者; ②中央型突出有马尾神经综合征,括约肌功能障碍者③明显神经受累表现者。 (2)手术方法:全椎板切除髓核摘除术、半椎板切除髓核摘除术、显微外科腰椎间盘摘除术、微创椎间盘切除、人工椎间盘置换术 多见于50岁以上的中老年人,女性多于男性。好发于负重较大的膝关节、髋关节、脊柱及远侧指间关节等部位,不累及腕关节,该病亦称为骨关节病、退行性关节炎、增生性关节炎等。 年龄是主要高危因素,其他因素包括外伤、肥胖、遗传、炎症、代谢等。软骨变性是OA最基本的病理改变。 临床表现 1.关节疼痛及压痛 2.关节僵硬 晨起时关节僵硬及发紧感,活动后缓解,在气压降低或空气潮湿时加重,持续时间较短,很少超过30分钟。(此可与类风湿性关节炎晨僵加以鉴别) 3.关节肿大 手指远侧指间关节侧方增粗,形成Heberden结节和Bouchard结节。部分膝关节可因骨赘形成及关节积液而肿大。 4.骨擦音(感)关节软骨破坏、关节面不平 辅助检查 1.X线检查 非对称性关节间隙变窄,软骨下骨硬化和(或)囊性变,关节边缘增生和骨赘形成,或伴有不同程度的关节积液,部分关节内可见游离体,严重者出现关节畸形,如膝内翻。 治疗 1.非药物:减少不合理运动 2.药物疗法 (1)控制症状药物 首选对非甾体抗炎药。乳胶剂、体积、膏剂首选。 (2)改善病情药物及软骨保护剂 透明质酸、氨基葡萄糖、硫酸软骨素、双醋瑞因等。 (3)关节腔内注射糖皮质激素:4-6周非甾体无效,炎症明显,一年不超3-4次。 3.手术疗法 手术方法: 游离体摘除 关节镜下关节清理术 截骨术 关节融合术和关节成形术 晚期:人工关节置换术。 第一位:金黄色葡萄球菌:最常见 第二位:乙型溶血性链球菌 感染途径:血源性播散 临床表现 1.儿童多见,以胫骨上段和股骨下段最多见 2.起病急骤。有寒战,继而高热至39℃以上,有明显的毒血症症状。 3.早期只有患区剧痛,肢体半屈曲状,周围肌痉挛,因疼痛抗拒做主动与被动运动。 4.维持3~4周。脓肿穿破后疼痛即刻缓解,→窦道,转入慢性阶段。 辅助检查 1.血常规 WBC↑,中性↑ CRP↑ 2.血培养 在寒战高热期抽血培养或初诊时每隔2小时抽血培养一次,共三次,可以提高血培养阳性率。 3.局部脓肿分层穿刺 涂片中发现多是脓细胞或细菌即可明确诊断(确诊)。 4.X线检查 起病后14天内的X线检查往往无异常 5.MRI:早期发现病灶 治疗 1.抗生素治疗 立即、足量抗生素 2.手术治疗 (1)手术的目的:引流脓液,减少毒血症症状;阻止急性骨髓炎转变为慢性骨髓炎。 (2)手术治疗时机:宜早,最好在抗生素治疗后48~72小时仍不能控制局部症状时进行手术。 (3)手术方法:在干骺端压痛最明显处做纵形切口,切开骨膜,放出骨膜下脓肿内高压脓液。 3.全身辅助治疗 贫血,可隔1~2天输给少量新鲜血,以增加病人的抵抗力。 致病菌:金黄色葡萄球菌 临床表现: 1.起病急骤,有寒战高热等症状,体温可达39℃以上,小儿惊厥、昏迷。 2.病变关节迅速出现疼痛与功能障碍 关节红肿热痛、关节积液、浮髌试验阳性 诊断 1.X线表现:关节间隙增宽 2.关节穿刺和关节液检查 早期可确诊,涂片、细菌培养+药敏试验。 治疗 1.早期足量全身性使用抗生素,原则同急性血源性骨髓炎。 2.关节腔内注射抗生素 3.经关节镜灌洗 4.关节腔持续性灌洗 骨与关节结核的好发部位是脊柱,约占50%,其次是膝关节、髋关节与肘关节。 椎体结核占大多数,腰椎结核发生率最高,胸椎次之 主要血行播散导致。 临床表现 1.起病缓慢。有低热、疲倦、消瘦、盗汗、食欲不振与贫血等全身症状。 2.疼痛是最先出现的症状。 3.拾物试验阳性:病人从地上拾物时,不能弯腰,需挺腰屈膝屈髋下蹲才能取物。 影像学检查 1.X线检查 骨质破坏和椎间隙狭窄为主。 腰大肌脓肿表现为一侧腰大肌阴影模糊,或腰大肌阴影增宽,饱满或局限性隆起。 2.CT检查 可以清晰地显示病灶部位、骨质破坏程度、有无空洞和死骨形成。CT检查对腰大肌脓肿有独特的价值。 3.MRI检查 具有早期诊断价值 4.病理检查 穿刺活检+病理 确诊。 治疗: (1)抗结核 对于骨关节结核疗程不少于12个月 (2)病灶清除术:手术适应证: ①经保守治疗效果不佳,病变仍有进展; ②有明显的死骨及较大脓肿形成; ③窦道流脓经久不愈; ④脊柱结核有脊柱不稳定、脊髓马尾神经受压或严重后凸畸形等。 术前4-6周抗结核治疗。彻底清除病灶,解除压迫,术后规范抗结核治疗 临床表现 1.起病缓慢,有低热、乏力、倦怠、食欲不振、消瘦及贫血等全身症状。 2.早期疼痛。夜啼。膝部疼痛 后期,腹股沟内侧与臀部出现寒性脓肿。 3.检查试验 (1)“4”字试验: (2)托马斯(Thomas)征:用来检查髋关节有无屈曲畸形。 病人平卧于检查床上,检查者将其健侧髋、膝关节完全屈曲,使膝部贴住或尽可能贴近前胸,此时腰椎前凸完全消失而腰背平贴于床面,若下肢不能伸直平放于床面即为阳性。病侧下肢与床面所成的角度即为髋关节屈曲畸形的角度。 抗结核治疗 必要时手术 1.长骨干骺端:依次为肱骨近段、股骨近端、胫骨近端和桡骨远端。 2.X线表现:为干骺端圆形界限清楚的溶骨性病灶,骨皮质有不同程度的膨胀变薄,无硬化性边缘单房或多房性 3.治疗: (1)病灶刮除+骨填充:标准 (2)<14岁,病灶紧邻骨骺,甲泼尼龙腔内注入 1.好发:长骨干骺端,股骨远端、胫骨近端和肱骨近端 2.X先:单发或多发,在干骺端可见从皮质突向软组织的骨性突起,其皮质和松质骨以窄小或宽广的蒂与正常骨相连,彼此髓腔相通,皮质相连续,突起表面为软骨帽,不显影,厚薄不一,有时可呈不规则钙化影。 治疗 1.一般无需治疗。 2.手术治疗:压迫周围血管神经或有关节功能障碍及恶变者。 1.好发:长骨干骺端和椎体,特别是股骨远端及胫骨近端。 2.X线表现特征:骨端偏心位、溶骨性、囊性破坏而无骨膜反应,病灶膨胀生长,骨皮质变薄,呈肥皂泡样改变。 3.治疗 (1)手术治疗为主 (2)目前靶向药物用于治疗难治性骨巨细胞瘤,可控制疾病进展和复发。 1.好发:股骨远端、胫骨近端及肱骨近端的干骺端 2.临床表现:疼痛、局部皮温升高,静脉怒张。 3.辅助检查 (1)血生化:碱性磷酸酶升高。 扩展:成骨性骨肿瘤→碱性磷酸酶升高; 前列腺癌骨转移→酸性磷酸酶升高 溶骨性病变→血钙升高 (2)X线:成骨性、溶骨性和混合型骨质破坏,骨膜反应明显,Codman三角、日光射线形态。 扩展:尤因肉瘤:葱皮现象,骨巨细胞瘤:肥皂泡 (3)MRI:对于明确肿瘤边界和侵袭范围帮助很大(4)活组织病理检查:可确诊。 4.治疗 术前大剂量化疗+根治性切除瘤段、植入假体的保肢手术或截肢术+术后大剂量化疗。
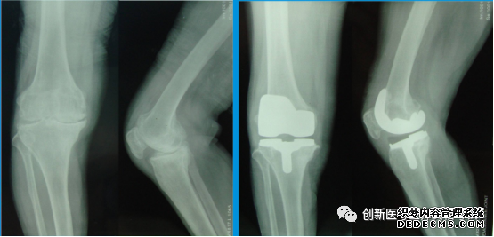
|























